Geen producten (0)
Geen producten (0)

Homo Sapiens onderkaak

€ 450,00
Omschrijving

Homo sapiens  vroeg  late periode ? ( stuk uit oude prive collectie)

Unieke en zeldzame vondst van deze complete onderkaak .

Deze werd opgegraven in een stuk bergachtige  gebied van Bojo Negero (oost Java) , op een diepte van cq 2 meter .

Tanden op kaakdeel (Rechts)   M3 derde kies (verstandskies ontbreekt )  M2 tweede grote kies. M1 eerste grote kies..

                                                  P2 tweede kleine kies .P1 eerste kleine kies . een hoektand , twee snijtanden .

Tanden op kaakdeel (Links)     M3 derde kies (verstandskies ontbreekt )  M2 tweede grote kies half gebroken . M1 eerste grote kies.half gebroken

                                                 .P2 tweede kleine kies .P1 eerste kleine kies ontbreekt  , een hoektand , twee snijtanden .

 

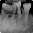
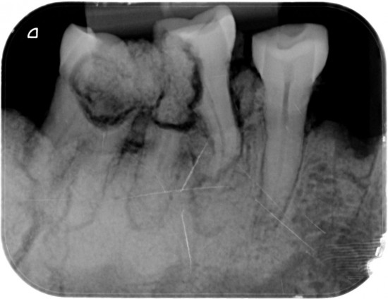
      Van de M2 en de M1  (Links) werden  extra rontgenfoto,s gemaakt om  duidelijk te maken dat het niet een maar  twee aparte kiezen betrof . 

      Duidelijk zichtbaar de wortels van beiden tanden .. 

      Verder was goed zichtbaaar de vergaande  botontsteking bij de gebroken kiezen . 

     Zeer interessant ook  was dat  beiden   verstandskiezen ontbraken  en deze ook nooit ontwikkeld cq aangelegd waren .         

     (dit is een normaal verschijnsel) ,wat er dus op wijst dat  bij de ontwikkeling van het gebit dit bij de  vroeger mens ook al voorkwam . 

 

                                                 

 

 

Ook interessant

€ 1.400,00